Fersensporn in Regensburg
› Ursachen › Symptome
› Diagnose
› Therapie
› Verlauf
Die Entwicklung des Menschen zum aufrecht gehenden Zweibeiner hat für das Achsenskelett eine Reihe von Adaptionsproblemen aufgeworfen. Diese Gehtechnik mit mannigfaltigen Veränderungen des Halteapparates müssen wir nahezu immer im Laufe unseres Lebens mit degenerativen Veränderungen bezahlen.

Ursache und Entstehung des Fersenspornes
Bei der Betrachtung der Füße muss dabei weiter berücksichtigt werden, dass die meisten degenerativen Erkrankungsbilder mit entsprechenden Veränderungen der Fußform mit weitaus höherer Inzidenz in den Industriestaaten als bei Naturvölkern zu finden sind. Schlechtes, meist zu enges Schuhwerk sowie harter und unebener Untergrund tragen sicher maßgeblich zur Ausprägung von Fehlformen der Füße bei.
Aufgrund anatomischer Veränderungen im Rückfußbereich kann es beim Bild des Knick- und des Hohlfußes zu einer vermehrten Belastung der inneren, medialen Auftrittsfläche des Fersenbeines kommen. Daraus entwickelt sich nicht selten reaktiv an einem Knochenfortsatz, dem „Tuberculum mediale calcanei“ eine spornartige Knochenausziehung, der Fersenporn.

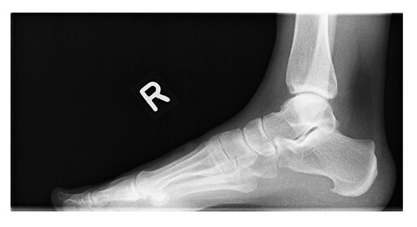
Abb. 1: Deutlich sichtbarer Knochensporn am Fersenbein (Calcaneus)
Begleitend kommt immer als verantwortlicher Auslöser die Schmerzhaftigkeit im Ansatzbereich der flächenhaften Fußsohlensehne sowie der kleinen Fußmuskeln als Sehnenentzündung hinzu. In etwa 50 % der Fälle eines solchen, auch röntgenologisch in der strengen Seitaufnahme des Fersenbeines gut zu sehenden Spornes (Abb. 1), kommt es zu Beschwerden. In der Regel werden diese von den Betroffenen als unangenehm empfunden, weil sie bei jedem Schritt verspürt werden. In Folge der dauernden Belastung wird auch der unter dem Fersenbein gelegene Schleimbeutel (Bursa subcalcanearis) gereizt, so dass nach zwei bis drei Monaten dauernder Schmerzsymptomatik bereits Ruheschmerz geklagt wird.
Therapieoptionen
Zur Behandlung des Fersenspornes sind in der einschlägigen Fachliteratur über 40 Behandlungsmethoden beschrieben. Medikamentöse, die Fußfehlform durch Einlagen korrigierende sowie operative Therapieansätze kommen zur Anwendung. Bei vielen Patienten kann jedoch kein befriedigendes Ergebnis erzielt werden, da keine wesentliche Veränderung des Beschwerdebildes erzielt wird. Typischerweise handelt es sich um berufstätige Patienten mit stehenden Tätigkeiten. Folglich kommt es zu langen Episoden mit Arbeitsunfähigkeit, da die Betroffenen nur noch eine kurze Gehstrecke von wenigen Metern bewältigen können.
Die Ergebnisse operativer Maßnahmen wie Spornabtragung und/oder Ablösung der ansetzenden Sehnen haben wegen der ausgesprochen mäßigen Langzeitergebnisse zu einer sehr zurückhaltenden Indikationsstellung geführt. Weil nicht eine Korrektur der anatomisch bedingten Fehlform des Fußes Inhalt des operativen Vorgehens ist, sondern eine symptomatische Beschwerdelinderung erzielt wird, treten die Beschwerden mittelfristig unverändert bei vielen Patienten wieder auf.
Dieser Umstand legt die Auseinandersetzung mit weiteren Therapieansätzen bei Ihrem Orthopäden in Regensburg nahe.
Der Fersensporn tritt meist als knöcherne, spitz zulaufende Knochenausziehung im Ansatzbereich der flächenhaften Sehne der Fußsohle (Plantarfaszie) auf.
Diese liegt an der Medialseite des Fersenbeines. Unterstützt wird die Spornentstehung durch eine Senkungsdeformität des Fußes. Durch valgische Stellung (vermehrte Gewichtsaufnahme des Rückfußußinnenrandes) des Fersenbeines kommt es zu stärkerer Belastung der Rückfußinnenseite. Häufig ist diese Fehlstellung mit einer zusätzlichen Abflachung des Fußlängsgewölbes kombiniert. Dieser Knick-Senk-Fuß besteht als physiologische Komponente im Kleinkindalter, die sich im Wachstumsalter spontan korrigieren kann. Bei Fortbestehen bis ins Erwachsenenalter bringt die Abflachung des Längsgewölbes eine vermehrte Zugbelastung im Ansatzbereich der Plantarfaszie sowie der kleinen Fußmuskeln im Sinne einer Sehnenansatzreizung. Eine weitere Folge dieser architektonischen Fußveränderungen ist eine Verschiebung der Auflagefläche des Fußes sohlenwärts. Dadurch wird auch die Ursprungsregion der Plantarfaszie verstärkt belastet. Bei vermehrter Belastung der Achillessehne im Ansatzbereich am Tuber calcanei kann es ebenfalls zu knöchernen Ausziehungen kommen, die entsprechend als hinterer oder oberer Fersenporn bezeichnet werden.
Fehlbelastung im Rückfußbereich sowie der Umstand mangelnder Knochenhautunterminierung im Ansatzbereich der Plantaraponeurose und der kleinen Fußmuskeln (M. abductor hallucis, M. flexor digitorum brevis) am Tuberculum mediale des Fersenbeines (Calcaneus) tragen neben überhöhtem Körpergewicht zur Beschwerdeausprägung in dieser Region bei.
Vermehrt beobachtet wird die Ausprägung eines Fersenspornes bei Grunderkrankungen wie Diabetes mellitus, Psoriasis, Morbus Bechterew und dem Reiter-Syndrom.
Aber auch ohne nachvollziehbare Spornentwicklung im Röntgenbild kann das typische Krankheitsbild des Fersenspornes auftreten. Bei vorbestehender Fußdeformität treten die Schmerzen mit gleicher Intensität und Lokalisation auf. Typischerweise besteht dabei neben dem stechenden Schmerz unter der Ferse eine ausgeprägte Druckschmerzhaftigkeit am Vorderrand des Tuber calcanei mediale.
Die Angaben über die Häufigkeit des Auftretens schwanken in der Literatur zwischen 1% bis hin zu 20%. Einschränkende Beschwerden werden bei etwa 50% der Betroffenen angegeben. Das erstmalige Auftreten liegt meist im mittleren Lebensalter. Das weibliche Geschlecht ist dreimal häufiger betroffen als das männliche.
Was tut eigentlich weh?
Bei Betrachtung der Ansatzregion der Plantarfaszie sowie der Muskulatur in der Region des Tuberculum mediale calcanei kann die Fasciitis plantaris als Sehnenansatzreizung verstanden werden. Verstärkt werden kann das Beschwerdebild durch die unteren Extremitäten belastenden Sportarten, Übergewicht oder stehende Berufsausübung.
Feingewebliche Untersuchungen an Leichenpräparaten der Plantarfaszie sowie der kleinen Fußmuskeln zeigten im Ansatzbereich Auflockerungen der kollagenen Fasern. Weiter beschrieben wurden Fibrinverquellungen, fibrotische Verdickungen und fettige Degeneration. Daraus wurde die Ausprägung narbiger Veränderungen mit Entwicklung von Nekrosen erklärt. Damit einher gingen Veränderungen der knorpelbildenden Zellen sowie Verkalkungen im Sehenansatzbereich. Diese Ablagerungen sind als Korrelat für die Defizite des lokalen Stoffwechselgeschehens der Plantarfaszie zu bewerten.
Beschwerdebild und Diagnose
Im Vordergrund der Beschwerden stehen in der Regel unter der Ferse lokalisierte, punktuell stechende Schmerzen. Sie treten überwiegend belastungsabhängig auf, werden nicht selten bei langem Bestehen auch als nächtliche, akut auftretende Ruheschmerzen beschrieben. Durch Druckausübung am medialen Anteil der Ferse lässt sich bei einer Untersuchung der geklagte Schmerz reproduzieren. Ebenfalls als druckschmerzhaft wird das Betasten im Verlauf der Plantarfaszie empfunden. Insbesondere der Vorderrand des Tuberculum mediale calcanei erweist sich als besonders schmerzempfindlich. Der Sporn als solcher ist unter dem ausgeprägten Weichteilmantel der subcalcanearen Region nicht tastbar. Nicht selten berichten Patienten auch über eine Fortleitung des Schmerzes in den Unterschenkel. Verstärkt werden die Beschwerden durch Laufen auf hartem Untergrund oder barfüßiges Gehen.
Diese Symptomatik kann so limitierend sein, dass ausgeprägte Gehbehinderungen bis hin zum Verlust der Gehfähigkeit zu beobachten sind. Charakteristik und Lokalisation der Spornbeschwerden führen beim Patienten oft zu einer vermeintlichen Schonhaltung beim Gehen. Die Schrittlänge wird reduziert. Eine Teilbelastung beim Auftreten wird angestrebt, die unter betontem Aufsetzen des Fußaußenrandes in einer Varusfehlhaltung realisiert wird.
Die Beschwerdesymptomatik kann mit der Sporngröße korrelieren. Aber nicht immer lässt sich ein direkter Rückschluss zwischen Schmerz- und Röntgenbild herleiten. Die fast immer spitz zulaufende und in der Röntgendokumentation dornartig imponierende knöcherne Ausziehung kann zwischen zwei Millimetern und über deutlich einen Zentimeter groß sein.
Differentialdiagnostisch muss bei akut auftretender Schmerzhaftigkeit in dieser Region eine Ruptur der Plantarfaszie ausgeschlossen werden. Weitere Ursachen können von einer akuten Entzündung des subcalcanear gelegenen Schleimbeutels, rheumatoider Arthritis, erhöhten Harnsäureretensionswerte oder einer Zyste im Fersenbein herrühren.
Therapie des Fersenspornes
Der Literatur sind über 40 konservative Behandlungsvorschläge zu entnehmen. Deren Ziel bleibt dabei aber stets nur die symptomatische Beseitigung des Reizzustandes.
Neben dieser rein symptombezogenen Schmerzbehandlung kann jedoch sehr wohl durch korrigierende Maßnahmen der Fußfehlstellung Linderung bis hin zur völligen Schmerzfreiheit erreicht werden.
Die symptomorientierte Einlagenversorgung beinhaltet nahezu immer nur eine Weichbettung des Rückfußes mit eingearbeiteter Aussparung des Schmerzareales. Diese Weichbettung der Ferse hat ein Tiefertreten des Rückfußes zur Folge, was eine Mehrbelastung der Plantaraponeurose bedingt. Außerdem führt die Aussparung im Schmerzbereich zu einer quetschungsartigen Dauerdruckstelle, die die lokale Durchblutung empfindlich ungünstig beeinflusst. Sowohl dynamische als auch statische Belastungsmessungen können diesen Umstand hinreichend belegen.
Nahezu alle betroffenen Patienten berichten aus ihrer persönlichen Schuhkarriere vom Tragen eines Schuhs mit einem sogenannten negativen Fußgewölbe (z. B. Birkenstock, Crocs). Bei einer solchen Gewölbekonstruktion im Schuh steht unter Belastung der Rückfuß tiefer als der Vorfuß. Dies wiederum bedingt ein Tiefertreten des Fersenbeines. Weil am Fersenbein die Achillessehne ansetzt, kommt es dadurch zu einer vermehrten Vorspannung der Sehne, was insbesondere den Vorderrand des Fersenbeines sohlenwärts sinken läßt. Somit wird die schmerzhafte Ansatzregion der Plantarfaszie einer wesentlich stärkeren statischen Belastung ausgesetzt, was die Symptomatik des Fersenspornschmerzes unterhalten oder sogar verstärken kann.
Beim korrigierenden Therapieansatz wird eine Beseitigung der fußformbedingten Fehlbelastung angestrebt und bei genügender Redressierbarkeit (Verformbarkeit des Vorfußes gegen den Rückfuß) des Fußes auch erreicht. Das zu flache Längsgewölbe wird durch Einarbeiten einer Abstützung in die Einlage angehoben. Eine Torsion des Rückfußes gegen den Vor- und Mittelfuß wird durch Auskorrigieren der Pronationsfehlstellung der Ferse erreicht. Dies führt zu einer Entlastung der Aponeurose im Ansatzbereich genauso wie über dem gesamten Verlauf. Dabei sollte die gefertigte Einlage fußsohlenlang gewählt werden, um ein Verrutschen im Schuh zu verhindern. Ferner kommt es bei kürzeren Einlagen recht häufig zu einer Zunahme der ohnehin schon bestehenden Fehlbeschwielung mit Hornhaut auf der Fußsohle. Dabei muss besonders auf die Qualität des Abdruckes zur Einlagenfertigung geachtet werden. Dieser sollte am besten in Blaupausentechnik gefertigt werden.
Zur medikamentösen Behandlung eignet sich die orale Einnahme nichtsteroidaler Antirheumatika. Sinnvoll kann in seltenen Fällen die einmalige Injektionsbehandlung der Schmerzregion mit einem Corticoid sein. Wegen des erheblichen Infektrisikos sollte dieses Vorgehen zurückhaltend eingesetzt werden.
Die Röntgenreizbestrahlung hat in der Behandlung des Fersenspornes Einzug gehalten. Von den Anwendern wird jedoch als Voraussetzung für erfolgreiche Therapie eine möglichst kurze Anamnese angegeben. Die Literatur gibt Erfolgsquoten von 20 bis 40 % an.
Als ultima ratio wird meistenteils die operative Behandlung des Fersenspornes eingeschätzt. Erst wenn alle konservativen Möglichkeiten erschöpft sind, die Anamnese länger als ein Jahr andauert und entsprechende Einbußen der Lebensqualität mit der Folge großen Leidensdruckes zu verzeichnen sind, kann eine operative Maßnahme überhaupt erwogen werden. In Frage kommt meist eine Ablösung der Plantarfaszie in der Ansatzregion am Calcaneus. Beschrieben wird neuerdings auch die endoskopische Fasziotomie der Aponeurose. Andere Operateure bevorzugen die offene Abtragung des Spornes.
Auf dem Boden hoher Rezidivraten der ursprünglichen Beschwerden sowie dem relativ häufigen Auftreten von Wundheilungsstörungen und Kelloidbildungen muß die Indikation zur Operation bei den eher bescheidenen langfristigen Ergebnissen ausgesprochen zurückhaltend gestellt werden. Die Zusammenschau der Therapieansätze und der Langzeitergebnisse bei der Fasciitis plantaris legt die kombinierte Behandlung aus korrigierender Einlage und hochenergetischer Stoßwellentherapie nahe. Die elastizitätsmindernden und Schmerz verursachenden Kalkeinlagerungen im Ansatzbereich der Plantarsehne können durch die ESWT ausgelöst werden, wobei als wünschenswerter Begleiteffekt der lokale Stoffwechsel angeregt wird. Dies ermöglicht den Abtransport der angelagerten „Abfallprodukte“ aus der Sehne.
Unsere Patienten werden unter strenger kontrollierter Ultraschallortung therapiert. Die mittlere Energieflussdichte beträgt während der ersten 200 – 400 Impulse 0,08 mJ/mm². Dadurch lässt sich ausnahmslos ein deutlich analgesierender Effekt erzielen. Dieser wird genutzt, um die Energieflußdichte auf 0,28 mJ/mm² zu steigern. Bei knapp 70 % der Behandlungssitzungen tritt nach der Erhöhung der Energieflußdichte bei 600 – 900 Impulsen eine weitere Empfindungsreduktion auf. Es wird in diesen Fällen auf 0,35 mJ/mm² erhöht. Auf eine Anästhesie kann und sollte mit dem geschilderten Behandlungsregime grundsätzlich verzichtet werden.
Insgesamt werden im Abstand von jeweils vier Wochen pro Behandlung 2000 Impulse mit einer Frequenz von vier Impulsen pro Sekunde verabreicht.
Die Ankopplung erfolgt durch sonografisch gesteuerte Ortung der Ursprungsregion der Plantarfaszie am Tuber calcanei. Die Behandlung wird ausschließlich von plantar durchgeführt.
Der Calcaneus dient zur korrekten Zielung als knöcherner Referenzpunkt. Im Querschnitt läßt sich bei einer Frequenz von 7,5 Megahertz das Fersenbein als stark echogener Knochenreflex sehr gut reproduzieren. Der Ursprung der Plantarfaszie am Tuber calcanei kann ebenfalls gut sichtbar als echoärmerer Streifen über dem Calcaneus dargestellt werden.
Verlauf
Unsere Erfahrungen zeigen, dass bei derzeit etwa 4000 behandelten Patienten mit dem Beschwerdebild des Fersenspornes in 95 Prozent der Fälle durch die kombinierte Behandlung auch langfristig völlige Beschwerdefreiheit erzielt werden kann.