Kalkschulter in Regensburg
› Diagnose › Verlauf
› Therapie
› Fazit
Seit geraumer Zeit geht der Mensch auf zwei Beinen. Der Wandel vom Vierbeiner zum Aufrechtgeher hat für den Halteapparat dramatische Folgen gehabt und wirkt sich noch immer auf dessen Wohlbefinden aus.
Das Schultergelenk und der Arm erfahren entwicklungsgeschichtlich gerade eine Umwidmung ihrer eigentlichen Funktion vom Stütz- und Fortbewegungsmittel hin zum raffinierten Greif- und Koordinationsinstrument.

Die vergleichsweise große Schulterkugel muss sich mit einer sehr kleinen Gelenkfläche zufriedengeben und obendrein mit dem Umstand zurechtkommen, dass jene Gelenkfläche Teil eines recht gut beweglichen Knochens, des Schulterblattes, ist. Nur durch umfangreiche Hilfskonstruktionen ist es dem Menschen deshalb möglich, das Schultergelenk so frei und in nahezu alle Richtungen bewegen zu können.
Diagnose der Kalkschulter
Ein recht häufiges und überaus schmerzhaftes Phänomen, die gefürchtete Kalkschulter, kann dabei das labile Gleichgewicht der freien Beweglichkeit am Schultergelenk empfindlich stören. In solchen Fällen wird häufig eine Behandlung in unserer orthopädischen Sprechstunde erforderlich. Durch die charakteristische Schilderung Ihrer Beschwerden, Funktionstests am Gelenk, eine sonografische Beurteilung und die Röntgenbildgebung kann ich als Ihr behandelnder Orthopäde die Diagnose stellen.

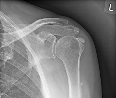
Abb. 1: ausgeprägte Kalkschulter im Röntgenbild
Verlauf der Kalkschulterbeschwerden
Meistens beginnt der Schmerz schleichend. Betroffene wachen nachts auf. Die Beschwerden nehmen in kurzer Zeit zu und können nahezu unbeherrschbar werden. Besonders eingeschränkt sind Abspreizen und Drehbewegungen des Armes (Pullover an- und ausziehen, Haare kämmen, Schürze binden).
Hat das Kalkkonkrement eine gewisse Größe und Konsistenz erreicht, verschwinden die Schmerzen nicht mehr spontan. In seltenen Fällen kann aktive endgradige Bewegung (über Kopf, nach hinten, nach oben, z. B. durch schwimmen) den Herd der Kalkschulter noch zur spontanen Auflösung bringen.
Zwischen der Rotatorenmanschette und dem sogennannten Kappenmuskel (Deltoideus) dient ein Schleimbeutel (Bursa) als Gleitmittler zwischen den beiden Muskelschichten. Dieser entleert und füllt sich regelmäßig mit einer zähflüssigen Substanz, die dem Schleimbeutel die erforderliche Konsistenz und ein gewisses Volumen einbringt, so dass er als Platzhalter dient und ein Verkleben der Muskeln miteinander verhindert.
Wenn es zu einem Ungleichgewicht zwischen Resorption und Produktion kommt, kann sich der Schleimbeutelinhalt aufgrund seiner anatomischen Lage ungünstig entleeren. Die zähe Flüssigkeit nimmt nicht mehr teil am unmittelbaren Stoffwechselgeschehen des Gelenkes und kann sich in eine feste, poröse Struktur verwandeln. Das Krankheitsbild der Kalkschulter nimmt damit seinen Lauf. Die Diagnose wird am besten im Röntgenbild mittels einer sogenannten true ap Aufnahme von Ihrem Orthopäden gesichert.
Therapie
Grundsätzlich gilt es, das die ungehinderte Bewegung störende und womöglich auch den schlanken sehnigen Supraspinatusmuskel angreifende Konkrement als Auslöser der Kalkschulter möglichst schonend zu entfernen.
Operativ bietet sich das minimal invasive Verfahren der Schulterspiegelung (Arthroskopie) unter Sicht mit einem Kamerasystem an. Damit kann im günstigsten Fall die Kalkschulter durch Ihren Orthopäden in Regensburg beseitigt werden. Wermutstropfen bleibt dabei das Narkose- (Vollnarkose erforderlich) und Infektionsrisiko. Die meisten operativen Verfahren am Schultergelenk haben eine langwierige und schmerzhafte Phase der Nachbehandlung zur Folge, die sich über Monate hinziehen kann.
Deutlich eleganter, weil ambulant bei Bewußtsein und nebenwirkungsfrei durchführbar, kann das Verfahren der hochenergetischen fokussierenden extrakorporalen Stoßwellentherapie (ESWT) die Kalkstruktur beseitigen.
Technischer Hintergrund der ESWT
Initial wurde das Phänomen des beschleunigten Ultraschalls für militärische Einsatzmöglichkeiten untersucht und beforscht. Ein überaus glücklicher Nebeneffekt war dabei der segensreiche Einsatz in der Medizin. Seit 1980 stellt die Nierenlithotripsie zur Behandlung des Nierensteines weltweit den Goldstandard dar. Die Orthopäden beschäftigen seit Ende der Achtziger Jahre mit der Stoßwelle.
Wird Ultraschall über die Schallgeschwindigkeit beschleunigt (Stoßwelle), kann er mechanische Energie abgeben. In der Natur erleben wir diesen Vorgang, wenn es donnert. Im technischen Einsatz können wir die Stoßwelle hören, wenn sich die Rotorblätter eines Hubschraubers drehen.
Die Optionen der Stoßwellentherapie wurden seit den späten Achtziger Jahren in der Orthopädie untersucht. Es konnten dabei sehr vielversprechende Therapieansätze herausgearbeitet werden. Ein mit der Stoßwelle vertrauter Orthopädie kann das Therapieverfahren mannigfaltig einsetzen.
Verzögert heilende Knochenbrüche, Schmerzen beim Fersensporn, schlecht heilende Wunden, der Tennisellbogen, Arthrosen großer Gelenke lassen sich ebenso wie die Kalkschulter hervorragend mittels der extrakorporalen Stoßwellentherapie durch Ihren Orthopäden des Vertrauens behandeln und ermöglichen auch langfristig dauerhafte Schmerzfreiheit.
Eine randomisierte Studie bei orthopädischen Krankheitsbildern sollte deshalb die Überlegenheit der ESWT bei orthopädischen Krankheitsbildern unter Beweis stellen. 14 deutsche Orthopädische Universitätskliniken haben sich an dieser Studie beteiligt. Zum Einsatz kamen dabei verschiedene Geräte und Behandler. Laut Studienprotokoll kam eine Energieflußdichte von jeweils 0,08 mJ/mm² zur Anwendung.
Nicht berücksichtigt wurde dabei, dass etliche der damals am Markt erhältlichen Geräte bei 0,08 mJ/mm² noch keine Stoßwelle produzieren, weil der generierte Ultraschall noch unter der Schallgeschwindigkeit bleibt.
Entsprechend enttäuschend war das Resultat. Es konnte keine Überlegenheit der ESWT bewiesen werden.
Deshalb fristet das Verfahren der extrakorporalen Stoßwellentherapie seit der Publikation der Studienergebnisse im Jahr 2001 ein ausgesprochen trauriges Dasein. Die wenigsten Orthopäden haben sich mit der spannenden Technik weiter auseinandergesetzt.
Weil die wartungsintensiven und anfälligen Geräte vergleichsweise teuer im Erwerb sind, wurden und werden von der Industrie billigere sogenannte Druckwellengeräte angeboten, die auch heute noch als „radiale Stoßwellengeräte“ von Orthopäden vermarktet werden.
Zum Tragen kommt dabei aber das physikalische Phänomen der Streuung. Ultraschall, der unter Schallgeschwindigkeit bleibt, streut mit dem Quadrat der Entfernung, sprich in der Tiefe kommt von der erzeugten Energie nichts mehr an. Über Schallgeschwindigkeit beschleunigt, fokussiert der Ultraschall mit dem Quadrat der Entfernung. Deshalb eignet sich diese Energieform so gut, um Nierensteine oder die Kalkschulter zu desintegrieren.
Nach der anfänglichen euphorischen Phase der vielversprechenden Behandlungsmöglichkeiten geriet die Stoßwelle zunehmend in den Hintergrund und das Interesse der Orthopäden erlosch weitgehend.
In der modernen apparativ gut ausgestatteten orthopädischen Praxis findet sich deshalb heutzutage ein radiales Stoßwellengerät, dessen physikalischer Hintergrund häufig weder dem Orthopäden noch dessen Personal bekannt ist. Die Behandlung wird typischerweise nicht von Ihrem Orthopäden sondern einer Mitarbeiterin durchgeführt.
Wer als Orthopäde allerdings mit dem hochtechnischen Verfahren der ESWT vertraut ist und das richtige Gerät einsetzt, kann hervorragende Behandlungsergebnisse erzielen.
Zur Anwendung sollte dabei ein hochenergetisches Verfahren kommen. Anbieten würde sich eine elektromagnetische oder piezoelektrische Generierung. Die radiale Druckwellentherapie würde sich nicht eignen, da es dabei in der Tiefe zu einem Streuungsphänomen kommt. Eine Desintegration der Kalkschulter kann damit nicht erreicht werden.

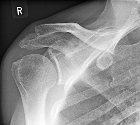
Abb. 2: Kalkschulter nach auswärtiger neunmaliger radialer Druckwelle

Abb.3: gleicher Patient nach viermaliger hochenergetischer ESWT
Fazit
Bei richtiger Vorgehensweise durch einen versierten Orthopäden kann das überaus schmerzhafte Erkrankungsbild der Tendinosis calcarea durch das Verfahren der extrakorporalen Stoßwellentherapie (ESWT) komfortabel dauerhaft behandelt werden. Erfreulicherweise übernehmen die gesetzlichen Krankenkassen die Behandlungskosten für die Stoßwellentherapie wieder zunehmend. Das schonende und nebenwirkungsfreie Verfahren kann in den meisten Fällen einen operativen Eingriff mit langwieriger Nachbehandlung ersetzen.
Durch eigene intensive wissenschaftliche Auseinandersetzung mit der Technik der Stoßwelle konnte ich mir ein hohes Maß an Erfahrung aneignen. Ich habe an der Entwicklung von Stoßwellengeräten in der Orthopädie mitwirken dürfen und zahlreiche experimentelle Studien durchgeführt. Diese Erfahrung kommt Ihnen als Patient zugute! Gerne berate ich Sie als Ihr Orthopäde im Hinblick auf die Möglichkeiten, die die Stoßwellenbehandlung bietet.